PathoPic – image database / PathoPic ID 10971 - Portal hypertensive Gastropathie

de
Diagnose
Portal hypertensive Gastropathie
Diagnose Gruppe
vaskulär / Durchblutungsstörung
Topographie
Magen
Topographie Gruppe
Oesophagus, Magen
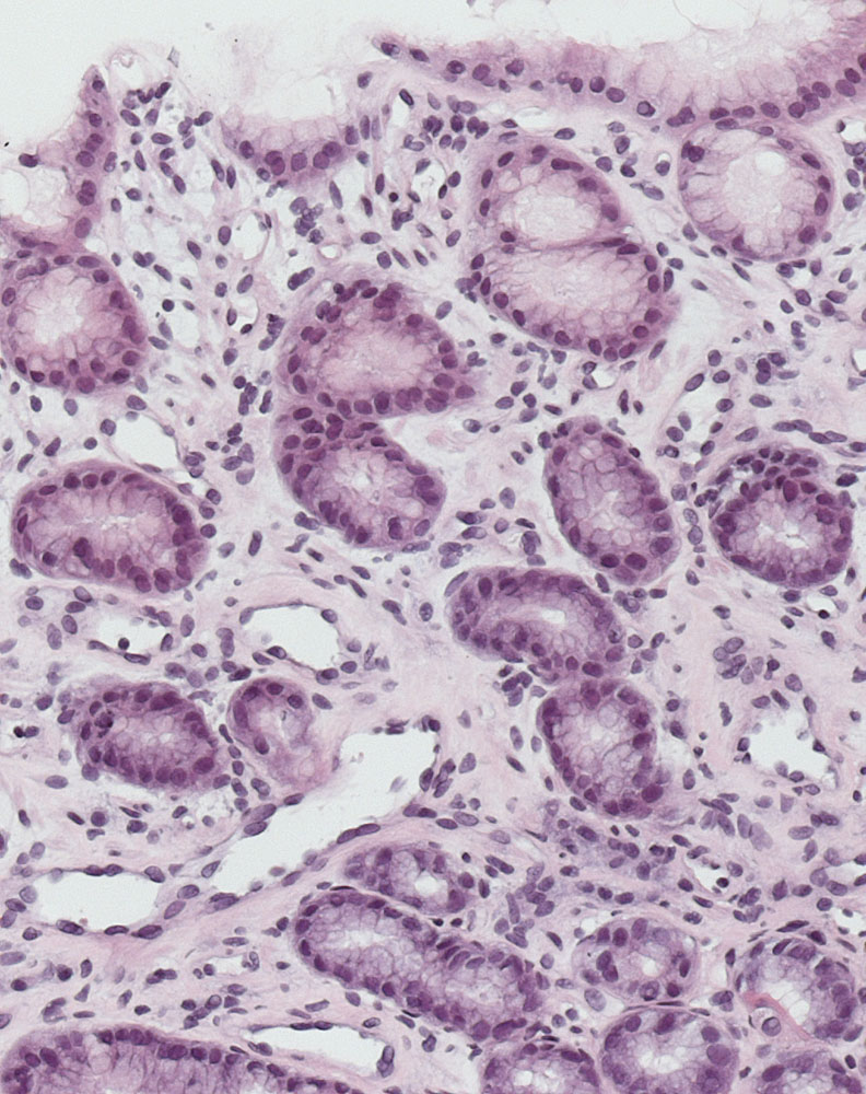
Beschreibung
Weitgehend entzündungsfreie Magenschleimhaut vom Antrumtyp mit regeneratorischen Epithelveränderungen, fibromuskulärer Stromaobliteration, Kapillarproliferaten und Angiektasien in der Lamina propria.
Zusatzbefund
Kein Helicobacter pylori.
Klinik
50 jährige Patientin mit Leberzirrhose bei chronischem Alkoholkonsum. Endoskopisch: Verdacht auf portal-hypertensive Gastropathie
Bilder Typ
Histologie
Vergrösserung
200
Alter
50
Geschlecht
unbekannt
Datum
Ersteintrag: 14.12.2011
Update: 28.08.2013